7997
Views
Open Access Peer-Reviewed
Relato de casos

Siringoma condroide benigno simulando carcinoma basocelular

Jeane Jeong Hoon Yang1; Antônio José Tebcherani2; Ed Wilson Tsuneo Rossoe3

DOI: https://doi.org/10.5935/scd1984-8773.201572469

Data de recebimento: 15/03/2014
Data de aprovação: 22/11/2014
Suporte financeiro: Nenhum
Conflito de interesse: Nenhum

Abstract

O siringoma condroide é tumor benigno raro de anexos cutâneos, também denominado tumor misto de pele, devido à presença de componentes epiteliais, mesenquimais e elementos de glândulas sudoríparas. Por se assemelhar clinicamente a diversas lesões de pele, o exame histopatológico é fundamental para definir o diagnóstico e, consequentemente, a terapêutica.

Keywords: NEOPLASIAS DE ANEXOS E DE APÊNDICES CUTÂNEOS; SIRINGOMA; ADENOMA PLEOMORFO


INTRODUÇÃO

Siringoma condroide, também conhecido como tumor misto cutâneo, é tumor raro de anexos cutâneos, composto de elementos epiteliais e mesenquimais. A presença de glândulas sudoríparas envoltas por matriz cartilaginosa, levou à denominação siringoma condroide.1 Clinicamente, pode assemelhar-se a lesões cutâneas diversas, pois não apresenta características clínicas particulares.2 Entre os diagnósticos diferenciais, podemos citar carcinoma basocelular, pilomatricoma, esteatocistoma, sendo o exame histopatológico necessário para confirmação diagnóstica.3 Relatamos caso de siringoma condroide, em apresentação clínica rara, simulando carcinoma basocelular.

 

RELATO DO CASO

Paciente do sexo masculino, 71 anos, branco, refere aparecimento de lesão no supercílio esquerdo há cinco anos, com aumento progressivo há dois anos. Assintomático. Ex-etilista há 10 anos. Ao exame dermatológico, apresentava nódulo de coloração perlácea com telangiectasias na superfície, medindo aproximadamente 1,5cm (Figura 1). Foram realizadas hipóteses diagnósticas de carcinoma basocelular, pilomatricoma, cisto sebáceo. Optou-se por retirada cirúrgica da lesão. Paciente segue em acompanhamento ambulatorial, com boa evolução clínica.

 

DISCUSSÃO

Siringoma condroide é tumor anexial cutâneo benigno e raro, originalmente descrito, em 1859, por Billroth como tumor misto de pele, devido à existência tanto de componentes epiteliais quanto estromais. A apresentação de elementos de glândulas sudoríparas definidos em estroma cartilaginoso levaram Hirsch e Helwig, em 1961, a denominar essa lesão siringoma condroide.1 Esses autores propuseram cinco critérios histológicos para o diagnóstico: 1) ninhos de células cúbicas ou poligonais; 2) estruturas tubuloalveolares intercomunicantes ladeadas por duas ou mais linhas de células cúbicas; 3) estruturas ductais constituídas por uma ou duas fileiras de células cúbicas; 4) ocasionais cistos com queratina; 5) matriz de composição variável.1 Clinicamente, é caracterizado por nódulo único, de superfície lisa, não aderente aos planos profundos e de limites precisos, assintomático, localizado principalmente na face ou no pescoço com predileção por nariz, lábios e sobrancelhas, como no caso do paciente aqui apresentado. Menos comumente, pode envolver mãos, pés, região axilar, abdômen, pênis, saco escrotal, vulva.4 Apresenta crescimento lento e progressivo. Geralmente, seu tamanho varia entre 0,5 e 3cm.5 Nosso paciente apresentava lesão de 1,5cm de diâmetro. São encontrados geralmente em homens (idade média em torno de 50 anos) em proporção de gênero que varia entre 1,3/1 e 5/1.3 Sem característica clínica particular, seu diagnóstico é essencialmente histopatológico.4 Presença de componentes epiteliais (estruturas glandulares com diferenciação écrina, apócrina ou ambas) e mesenquimais (tecidos com diferenciação mixoide, condroide, tecido adiposo ou fibroso). O componente epitelial é constituído por glândulas que histologicamente podem ser de dois tipos: apócrinas, como no caso apresentado, tipo mais comum, constituídas de glândulas tubulares ou císticas, focalmente conectadas, franjas com assento duplo de células cúbicas ou achatadas; e écrinas, caracterizadas por luz estreita e glândulas emolduradas por camada celular única. Embora o estudo imuno-histoquímico seja dispensável para o diagnóstico devido à característica de dupla população da lesão (estruturas glandulares e componente cartilaginoso), trabalhos relatam a expressão de citoqueratinas (CK), antígeno de membrana epitelial (EMA), antígeno carcinoembrionário (CEA) nas estruturas glandulares, vimentina, proteína S-100, enolase neurônio-específica (NSE), e em alguns casos, proteína ácida fibrilar glial (GFAP), no componente cartilaginoso.6

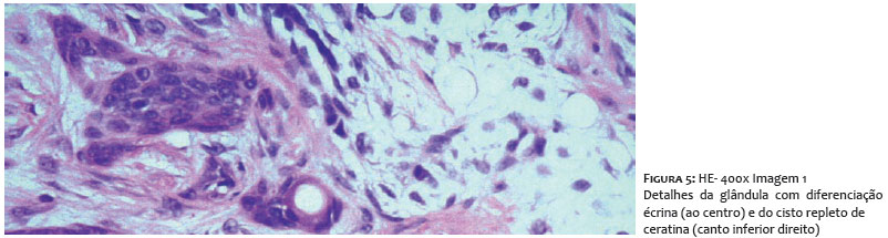
O caso apresentado exibe os componentes epitelial e mesenquimal bastante exuberantes, notando-se que os contornos da lesão são bem definidos (Figura 2), o que, juntamente com a ausência de atipias, favorece o caráter benigno da lesão. O componente mesenquimal tem elementos mixoides (Figura 3), condroides (Figura 4) e focos com diferenciação adiposa. A parte glandular do tumor é constituída ora por glândulas com luz regular e reduzida, que lembram a porção secretora das glândulas sudoríparas écrinas (Figura 5), ora por glândulas com luz ectásica e tortuosa, sugestivas de diferenciação apócrina. Estão presentes também os cistos repletos de ceratina (Figura 5). De clínica inespecífica, o siringoma condroide se assemelha a outras lesões cutâneas. Dos diagnósticos diferenciais podemos citar cistos epidérmicos de inclusão, nevos amelanóticos, cistos sebáceos, cistos dermoides, schwanomas, neurofibromas, pilomatricomas e carcinomas basocelulares.7 Nesse caso o paciente apresentava características clínicas que se assemelhavam às de carcinoma basocelular. A maioria dos casos é benigna, embora haja forma maligna,1,2 porém rara. Tipos malignos ocorrem mais comumente em mulheres jovens, medem muitas vezes mais do que 3cm, são localmente invasivos e mostram predileção por tronco ou extremidades.1,2 As características histológicas consideradas sinais de transformação maligna são atipia citológica, margens infiltrativas, nódulos tumorais satélite, necrose tumoral e envolvimento de estruturas profundas,8 não vistas em nosso caso. O tratamento de escolha é a excisão com remoção de tecido normal peritumoral de 4mm. A cirurgia é muitas vezes fácil devido à boa delimitação da lesão por uma cápsula. No paciente aqui descrito, a lesão foi excisada em sua totalidade. Não foi percebida recidiva, com seguimento atual após três meses. Outras opções de tratamento descritas são dermoabrasão, eletrodissecção e vaporização com argônio ou laser de CO2.4 Tumores benignos incompletamente ressecados requerem monitorização periódica para detectar recorrência ou possível transformação maligna.7

 

Referências

1. Hirsch P, Helwig EB. Chondroid syringoma. Mixed tumor of skin, salivary gland type. Arch Dermatol. 1961;84:835-47.

2. Solanki LS, Dhingra M, Bhalla M, Thami GP, Punia RPS, Shilpy Batra S. Chondroid syringoma: Report of two cases in young patients. Dermatol Online J. 2011;17(12):7.

3. Abila S, Bouhllaba J, Zarkika S, Lamchahaba FZ, Saidib A, Ismailia N, et al. Syringome chondroïde de la face. Ann Dermatol Venereol. 2012;139(10):681-3.

4. Yavuzer R, Basterzi Y, Sari A, Bir F, Sezer C. Chondroid syringoma: a diagnosis more frequent than expected. Dermatol Surg. 2003;29(2):179-81.

5. Tokyol C, Aktepe F, Yavas BD, Yildiz H, Aycicek A. Chondroid syringoma: a case report. Acta Cytol. 2010;54(8):973-6.

6. Argenyi ZB, Balogh K, Goeken JA. Immunohistochemical characterization of chondroid syringomas. Am J Clin Pathol. 1988;90(6):662-9.

7. Varsori M, Dettwiler S, Chaloupka K. Syringome chondroïde de la paupière: à propos d'un cas. J Fr Ophtalmol. 2007;30(1):3.

8. Bates AW, Baithun SI. Atypical Mixed Tumor of the Skin: histologic, immunohistochemical, and ultrastructural features in three cases and a review of the criteria for malignancy. Am J of Dermatopathol. 1998;20(1):35-40.

 

Trabalho realizado no Complexo Hospitalar Padre Bento de Guarulhos - Guarulhos (SP), Brasil


Licença Creative Commons All content the journal, except where identified, is under a Creative Commons Attribution-NonCommercial 4.0 International license - ISSN-e 1984-8773