8345
Views
Open Access Peer-Reviewed
Relato de casos

Poroma écrino pigmentado simulando melanoma maligno

Daniela Tiemi Sano1; Jeane Jeong Hoon Yang2; Cristiano Luiz Horta de Lima Júnior3; José Roberto Pereira Pegas4

Data de recebimento: 25/05/2013
Data de aprovação: 20/08/2013
Suporte Financeiro: Nenhum
Conflito de Interesses: Nenhum

Abstract

O poroma écrino é tumor benigno de glândula sudorípara écrina ou apócrina. Trata-se de lesão solitária, geralmente cor da pele, localizada em palmas e plantas. Relatamos caso clínico de poroma écrino pigmentado, pela apresentação clínica rara e atípica do tumor, simulando melanoma maligno.

Keywords: POROMA; NEOPLASIAS DAS GLÂNDULAS SUDORÍPARAS; MELANOMA.


INTRODUÇÃO

O poroma écrino é tumor benigno de glândula sudorípara écrina ou apócrina, composto por células similares às do acrossiríngeo. Caracteriza-se por lesão solitária, cor da pele, geralmente localizada em palmas e plantas, podendo acometer outras áreas do corpo.1-3 Existem variantes clínicas que incluem poromatose, poroma écrino linear e pigmentado.4 A variante pigmentada é rara e pode clinicamente se assemelhar a melanoma maligno nodular, pela pigmentação da lesão. Devido ao fato de as características clínicas do poroma não serem específicas, é importante realizar o diagnóstico diferencial com granuloma piogênico, carcinoma basocelular pigmentado, hemangioma e melanoma, sendo o diagnóstico definitivo estabelecido pela histopatologia.1,5 Relatamos caso clínico de poroma écrino pigmentado em localização não habitual do tumor, simulando melanoma maligno.

 

RELATO DO CASO

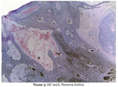
Paciente do sexo feminino, 53 anos, parda, referiu aparecimento de nódulo na face anterior da coxa esquerda há oito anos. Inicialmente apresentava nódulo de coloração cor da pele que evoluiu para coloração avermelhada e, posteriormente, enegrecida. Referiu aumento progressivo da lesão, associado a dor local discreta. Nesse período, pela presença da nodulação enegrecida na coxa esquerda, procurou consulta com dermatologista. Foram aventadas hipóteses diagnósticas de tumor cutâneo (carcinoma basocelular pigmentado ou melanoma maligno) e de nódulo consequente a veia trombosada. A paciente tinha antecedentes de hipertensão arterial, diabetes, dislipidemia e câncer de mama tratado. Ao exame dermatológico, apresentava nodulação enegrecida de consistência firme e endurecida, com áreas de exulceração, medindo aproximadamente 2cm de diâmetro em seu maior diâmetro, na face anterior da coxa esquerda (Figuras 1 e 2). Ao exame dermatoscópico, a lesão apresentou características altamente sugestivas de melanoma maligno. Optou-se por tratamento cirúrgico para definição diagnóstica. A paciente foi submetida à exérese da lesão, e o material foi encaminhado para exame anatomopatológico. A histopatologia mostrou células poroides com citoplasma pigmentado (P) e estruturas semelhantes às do acrossiríngeo (seta) (Figuras 3 e 4). O resultado histopatológico foi compatível com o diagnóstico de poroma écrino pigmentado, sendo a hipótese clínica de melanoma maligno descartada. Paciente segue em acompanhamento ambulatorial, apresentando boa evolução clínica. Não houve recidiva da lesão.

 

DISCUSSÃO

O poroma écrino foi descrito pela primeira vez por Pinkus e colaboradores em 1956, que assim nomearam os tumores derivados do ducto sudoríparo.2,6 Ackerman define histologicamente um grupo de quatro neoplasias epiteliais benignas, compostas de células similares às do ducto écrino intradérmico, o acrossiríngeo, denominadas hidroacantoma simples, poroma écrino, tumor do ducto dérmico e hidradenoma poroide, classificados histopatologicamente com base em sua localização com relação à epiderme.1,4,7

O termo poroma refere-se a um grupo de tumores anexiais cutâneos raros, compostos por células (cuticulares e poroides) similares às do acrossiríngeo.1,2,7 O poroma écrino é tumor benigno de glândula sudorípara écrina ou apócrina.1 Ocorre comumente como nódulo ou pápula séssil ou pedunculada, solitária e cor da pele.1,3,4 Existem variantes clínicas que incluem poromatose, poroma écrino linear e pigmentado.4,6,7 Algumas vezes, pode ser pigmentado, com coloração vermelha brilhante ou violácea, pruriginoso ou doloroso.

Acomete indivíduos de diversas raças, sobretudo a branca, na faixa etária entre a quarta e sexta décadas de vida.2 Afeta igualmente ambos os sexos, com ligeiro predomínio em homens. O tempo de evolução da lesão pode variar de semanas a anos.6 Raramente precede o desenvolvimento de porocarcinoma. Habitualmente localizado nas plantas dos pés ou palmas das mãos, pode acometer outras áreas do corpo.4,5,8 Pode também ulcerar em pontos de pressão e em áreas de traumatismos, geralmente apresentando crescimento lento e assintomático.2,6

A variedade pigmentada do poroma écrino ocorre por persistência dos melanócitos no acrossiríngeo, sem causa esclarecida.8 Normalmente, no acrossiríngeo durante a fase embrionária há a presença de melanócitos, que ao final dessa fase involuem.6

Com a melhora na acurácia diagnóstica do exame dermatoscópico para os vários tipos de tumores cutâneos, algumas lesões podem ser identificadas antes do exame histopatológico.7 A dermatoscopia é exame não invasivo, útil no diagnóstico de lesões cutâneas pigmentadas. Contribui no diagnóstico precoce de lesões de melanoma maligno, permite diferenciar as lesões pigmentadas benignas e malignas do melanoma maligno, e é útil no diagnóstico do carcinoma basocelular pigmentado. Embora haja vários estudos dermatoscópicos das lesões pigmentadas, não há muitos estudos com relação ao poroma écrino, variedade pigmentada.9

O poroma écrino pigmentado pode simular clinicamente várias lesões cutâneas, incluindo carcinoma basocelular pigmentado, queratose seborreica e melanoma maligno, devido a sua variedade clínica, dermatoscópica e histopatológica.7,10 Vários tipos de estruturas dermatoscópicas associadas com lesões melanocíticas e não melanocíticas são observadas nos poromas pigmentados, devido às quantidades variáveis de melanina nessas lesões, o que o torna, clínica e dermatoscopicamente, indestiguível do melanoma e de tumores cutâneos não melanoma em alguns casos.7

Histologicamente, o poroma écrino revela agregados de células basaloides uniformes, que podem irradiar da camada basal da epiderme para a derme.3,5

Por ser lesão benigna, o poroma écrino tem bom prognóstico. O tratamento de escolha é a completa excisão cirúrgica. A recorrência da lesão é pouco frequente.2,4,6

Em algumas ocasiões, devido a sua pigmentação, o poroma écrino pigmentado pode simular clinicamente um melanoma maligno.6 É importante ressaltar que as características clínicas do poroma écrino não são específicas, podendo assemelhar-se clinicamente a outros tumores cutâneos. Entre os diagnósticos diferenciais são citados granuloma piogênico, hemangioma, carcinoma basocelular, melanoma nodular e melanoma amelanótico, sendo o exame histopatológico necessário para confirmar o diagnóstico.1,5-7

 

Referências

1. Allende I, Gardeazabal J, Acebo E, Díaz-Pérez JL. Poroma ecrino pigmentado. Actas Dermosifiliogr. 2008;99(6):493-501.

2. Pareyón LAR, Rojas PB, Ramos-Garibay A. Poroma ecrino pigmentado. Presentación poco habitual. Rev Cent Dermatol Pascua. 2001;10(2):70-2.

3. Taylor RS, Perone JB, Kaddu S, Kerl H. Tumores Anexiais e Hamartomas da Pele. In: Wolff K, Goldsmith LA, Katz SI, Gilchrest BA, Paller AS, Leffell DJ, editors. 7a ed. Fitzpatrick's Tratado de Dermatologia. p:1075-6.

4. Sano DT, Yang JJH, Fregonesi NCFP, Lima Jr CLH, Freua SRG, Pegas JRP. Poroma écrino simulando melanoma maligno: relato de caso. 67º Congresso da Sociedade Brasileira de Dermatologia. 2012. Pôster eletrônico mini-comunicação. PE-073.

5. Altamura D, Piccolo D, Lozzi GP, Peris K. Eccrine poroma in an unusual site: A clinical and dermoscopic simulator of amelanotic melanoma. J Am Acad Dermatol. 2005;53(3):539-41.

6. Rivera OL, Mora S, Gutiérrez, Novales J. Poroma ecrino simulando um melanoma maligno. Reporte de un caso y revisión de la literatura. Rev Cent Dermatol Pascua. 1999;8(1):35-8.

7. Minagawa A, Koga H. Dermoscopy of Pigmented Poromas. Dermatology. 2010;221(1):78-83.

8. Ohata U, Hara H, Suzuki H. Pigmented Eccrine Poroma Occurring on the Scalp. Derivation of Melanocytes in the Tumor. Am J Dermatopathol. 2006;28(2):138-41.

9. Kuo HW, Ohara K. Pigmented Eccrine Poroma: A Report of Two Cases and Study With Dermatoscopy. Dermatol Surg. 2003;29(10):1076-9.

10. Kakinuma H, Kobayashi M. Eccrine poroma: another cause of a pigmented scalp nodule. Br J Dermatol. 2002;146(3):523.

 

Trabalho realizado no Complexo Hospitalar Padre Bento de Guarulhos (CHPBG) - Guarulhos (SP), Brasil


Licença Creative Commons All content the journal, except where identified, is under a Creative Commons Attribution-NonCommercial 4.0 International license - ISSN-e 1984-8773