1456
Views
Open Access Peer-Reviewed
Relato de caso

Botulinum toxin in the treatment of pemphigus vegetans of the scalp

André Pozzobon Capeletti; Ana Paula Dornelles Manzoni; Rodrigo Pereira Duquia; Vanessa Vinderfeltes Padilha

DOI: https://doi.org/10.5935/scd1984-8773.2025170399

Funding: None.
Conflict of interest: None.
Submitted on: 09/01/2024
Final decision: 02/17/2025
How to cite this article: Capeletti AP, Manzoni APD, Duquia RP, Padilha VV. Botulinum toxin in the treatment of pemphigus vegetans of the scalp. Surg Cosmet Dermatol. 2025;17;e20250399.


Abstract

Pemphigus vegetans is a rare clinical form of pemphigus vulgaris, and scalp involvement is even rarer. Treatment can be challenging, often requiring systemic immunosuppression. Botulinum toxin can be an effective and low-risk alternative for the treatment of pemphigus vegetans unresponsive to conventional treatments. We report an unprecedented case in the literature of successful treatment of scalp lesions through the application of botulinum toxin type A.


Keywords: Pemphigus; Scalp; Botulinum Toxins, Type A


INTRODUCTION

Pemphigus encompasses a group of autoimmune bullous diseases of the skin and mucous membranes, with variable geographic distribution worldwide, and pemphigus vulgaris is its most frequent subtype.1,2,3 Pemphigus vegetans is a rare clinical form,6,8 and scalp involvement is even rarer.3,6,7,8 Treatment can be challenging, often requiring systemic immunosuppression.2,3,4,5,6 The present study aims at presenting an unprecedented case in the literature of pemphigus vegetans on the scalp, refractory to conventional treatment, achieving good clinical response to botulinum toxin type A.

 

CASE REPORT

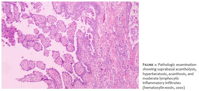
A 50-year-old male patient, White, previously diagnosed with pemphigus vulgaris, had bullous lesions on his nose, scalp, oral mucosa, trunk, abdomen, arms, and legs. A laboratory assessment found no relevant alterations. The initial therapeutic options were prednisone, azathioprine, and mycophenolate, but they had to be discontinued due to their side effects. Except for the lesions on the patient's scalp, which progressed to a vegetative appearance, all other lesions were controlled by using rituximab (Figure 1A and 1B). Pathologic examination of the scalp lesion found suprabasal acantholysis, hyperkeratosis, acanthosis, and moderate lymphocytic inflammatory infiltrates (Figure 2). Direct immunofluorescence found IgG positivity, with intercellular pattern in the epidermis. Clinical-histological correlation corroborated the diagnosis of pemphigus vegetans. The choice was made to administer botulinum toxin as an experimental treatment for the scalp lesions. After topical application of 4% lidocaine cream (Dermomax®) on the scalp plaques for 30 minutes and antisepsis with 0.2% aqueous chlorhexidine, botulinum toxin type A (Botox®), 2 UI/cm2, was injected intradermally (Table 1). After 6 weeks, lesion verrucosity had improved by over 50%. At reassessment, a new dose of botulinum toxin was administered, following the same procedure, achieving progressive improvement (Figure 3A and 3B).

 

DISCUSSION AND CONCLUSION

Currently, there is no literature on the use of botulinum toxin to treat pemphigus vegetans. Nevertheless, it has shown promise as a low-risk therapeutic alternative for this dermatosis.9, 12,13,14 The mechanisms of action of botulinum toxin are not yet fully understood. One hypothesis suggests that the inhibition of acetylcholine binding to the neuromotor receptors of sweat glands may reduce both sweating and neural activity of the eccrine glands.12,13,15,16 In addition, it has been proposed that botulinum toxin blocks the release of neuropeptides and other substances involved in the local inflammatory process.11,14 In the present case, a marked improvement in the lesions was observed, with a reduction of more than 50% in verrucosity in only 6 weeks, and progressive disappearance over a 6-month period. The leading hypothesis is that the anhidrotic and anti-inflammatory effects of botulinum toxin decrease the risk of local infections, both micro and macro, which could otherwise exacerbate the proinflammatory process and worsen the clinical condition. Based on reports of the use of botulinum toxin to treat other dermatoses, we believe that periodic reapplications (every 6 months, for example) may be necessary to optimize outcomes. Botulinum toxin may represent an effective and low-risk alternative for the treatment of pemphigus vegetans unresponsive to conventional treatments. However, clinical trials are still required to clarify the best use and the mechanism of action of this therapy.

 

AUTHOR'S CONTRIBUTION:

André Pozzobon Capeletti
ORCID:
0000-0002-7226-0042
Approval of the final version of the manuscript; Conception and design of the study; Preparation and writing of the manuscript; Acquisition, analysis and interpretation of data; Effective participation in the conduct of the study; Intellectual participation in the propaedeutic and/or therapeutic approach to the cases studied; Critical review of the literature; Critical revision of the manuscript
Ana Paula Dornelles Manzoni
ORCID:
0000-0001-6184-4440
Approval of the final version of the manuscript; Conception and design of the study; Effective participation in the conduct of the study; Critical revision of the manuscript
Rodrigo Pereira Duquia
ORCID:
0000-0001-6308-3585
Author's contribution: Approval of the final version of the manuscript; Conception and design of the study; Effective participation in the conduct of the study; Critical revision of the manuscript
Vanessa Vinderfeltes Padilha
ORCID:
0000-0001-6794-985X
Author's contribution: Approval of the final version of the manuscript; Conception and design of the study; Intellectual participation in the propaedeutic and/or therapeutic approach to the cases studied

 

REFERENCES:

1. Porro AM, Seque CA, Ferreira MCC, Enokihara MMSS. "Penphigus vulgaris." An Bras Dermatol. 2019;94(3):264-78.

2. Messersmith L, Krauland K. Pemphigus Vegetans. In: StatPearls [Internet]. Treasure Island (FL): StatPearls Publishing; 2022.

3. Zaraa I, Sellami A, Bouguerra C, Sellami MK, Chelly I, Zitouna M, et al. Pemphigus vegetans: a clinical, histological, immunopathological and prognostic study. J Eur Acad Dermatol Venereol 2011;25(10):1160-7.

4. Danopoulou I, Stavropoulos P, Stratigos A, Chatziolou E, Chiou A, Georgala S, et al. Pemphigus vegetans confined to the scalp. Int J Dermatol. 2006;45(8):1008-9.

5. Mori M, Mariotti G, Grandi V, Gunnella S, Maio V. "Pemphigus vegetans of the scalp". J Eur Acad Dermatol Venereol. 2016;30(2):368-70.

6. Noama D, Ouafaa H, Nadia A, Said A, Anass F, Hanane R, et al. Pemphigus végétant: une forme rare de pemphigus. La Presse Médicale. 2014;43(5):e119-e134.

7. Lakhmiri M, Maouni S, Znati K, Meziane M, Ismaïli N, Benzekri L, et al. Pemphigus végétant [Pemphigus vegetans]. Ann Dermatol Venereol. 2020;147(1):78-9.

8. Huei LT, Yee EYW. Scalp involvement in pemphigus vegetans. J Cutan Med Surg. 2021;25(3):329.

9. Zhang H, Tang K, Wang Y, Fang R, Sun Q. Botulinum toxin in treating Hailey-Hailey disease: asystematic review. J Cosmet Dermatol. 2021;20(5):1396-402.

10. Messikh R, Atallah L, Aubin F, Humbert P. La toxine botulique dans les maladies dermatologiques invalidantes. Ann Dermatol Vénéréol. 2009;136(4):S129-S136.

11. Bansal C, Omlin KJ, Hayes CM, Rohrer TE. Novel cutaneous uses for botulinum toxin type A. J Cosmet Dermatol. 2006;5(3):268-72.

12. Martina E, Diotallevi F, Radi G, Campanati A, Offidani A. Therapeutic use of botulinum neurotoxins in Dermatol: systematic review. Toxins. 2021;13(2):120.

13. Lewandowski M, Świerczewska Z, Barańska-Rybak W. Off-Label use of botulinum toxin in dermatology-current state of the art molecules. 2022;27(10):3143.

14. Alster TS, Harrison IS. Alternative clinical indications of botulinum toxin. Am J Clin Dermatol 2020;21(6):855-80.

15. Kim YS, Hong ES, Kim HS. "Botulinum toxin in the field of dermatology: novel indications." Toxins. 2017,9(12):403.

16. Campanati A, Martina E, Giuliodori K, Consales V, Bobyr I, Offidani A, et al. Botulinum toxin off-label use in dermatology: a review. Skin appendage disord. 2017;3(1):39-56.


Licença Creative Commons All content the journal, except where identified, is under a Creative Commons Attribution-NonCommercial 4.0 International license - ISSN-e 1984-8773