1459
Views
Open Access Peer-Reviewed
Relato de caso

Toxina botulínica no tratamento de pênfigo vegetante de couro cabeludo

André Pozzobon Capeletti; Ana Paula Dornelles Manzoni; Rodrigo Pereira Duquia; Vanessa Vinderfeltes Padilha

DOI: https://doi.org/10.5935/scd1984-8773.2025170399

Fonte de financiamento: Nenhuma.
Conflito de interesses: Não
Data de submissão: 01/09/2024
Decisão final: 17/02/2025
Como citar este artigo: Capeletti AP, Manzoni APD, Duquia RP, Padilha VV. Toxina botulínica no tratamento de pênfigo vegetante de couro cabeludo. Surg Cosmet Dermatol. 2025;17;e20250399.


Abstract

O pênfigo vegetante é uma forma clínica rara de pênfigo vulgar, sendo o acometimento do couro cabeludo ainda mais incomum. O tratamento pode ser desafiador, com frequente necessidade de imunossupressão sistêmica. A toxina botulínica pode ser uma alternativa efetiva e de baixo risco para o tratamento do pênfigo vegetante não responsivo aos tratamentos convencionais. Relatamos um caso inédito na literatura, com sucesso terapêutico das lesões em couro cabeludo através da aplicação de toxina botulínica tipo A.


Keywords: Pênfigo; Couro Cabeludo; Toxinas Botulínicas Tipo A


INTRODUÇÃO

O pênfigo compreende um grupo de doenças bolhosas autoimunes da pele e das mucosas, com distribuição variável em diferentes regiões do mundo, sendo o pênfigo vulgar o seu subtipo mais comum.1,2,3 O pênfigo vegetante caracteriza-se como uma forma clínica rara,6,8 sendo o acometimento do couro cabeludo ainda mais incomum.3,6,7,8 O tratamento pode ser desafiador, com frequente necessidade de imunossupressão sistêmica.2,3,4,5,6 Este trabalho tem como objetivo apresentar um caso inédito na literatura de pênfigo vegetante de couro cabeludo, refratário aos tratamentos convencionais, com boa resposta clínica ao uso de toxina botulínica tipo A.

 

RELATO DO CASO

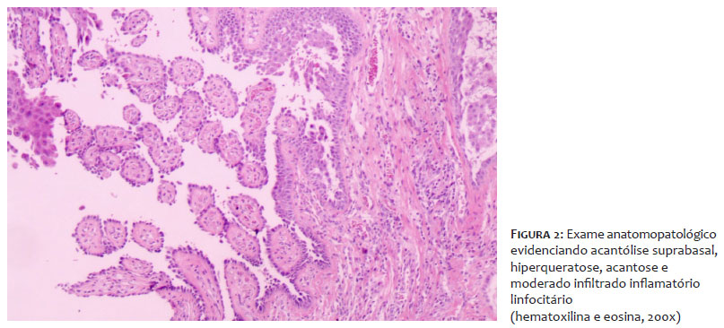
Paciente do sexo masculino, 50 anos, branco, com diagnóstico prévio de pênfigo vulgar, apresentava lesões bolhosas em nariz, couro cabeludo, mucosa oral, tronco, abdome, braços e pernas. A avaliação laboratorial não revelou alterações relevantes. As alternativas terapêuticas inicialmente utilizadas foram prednisona, azatioprina e micofenolato, porém precisaram ser suspensas devido a efeitos colaterais. Com exceção das lesões no couro cabeludo, que evoluíram com aspecto vegetante, houve controle das demais lesões com o uso de rituximabe (Figura 1 A e 1B). O exame anatomopatológico da lesão do couro cabeludo evidenciou acantólise suprabasal, hiperqueratose, acantose e moderado infiltrado inflamatório linfocitário (Figura 2). A imunofluorescência direta evidenciou IgG positivo, com padrão intercelular na epiderme. A associação clínico-histológica corroborou o diagnóstico de pênfigo vegetante. Optou-se pela aplicação de toxina botulínica como tratamento experimental nas lesões do couro cabeludo. Após aplicação tópica de lidocaína 4% em creme (Dermomax®) sobre as placas do couro cabeludo por 30 minutos e limpeza com clorexidina aquosa 0,2%, foi realizada injeção de toxina botulínica tipo A (Botox®), 2 UI/cm2, por via intradérmica (Tabela 1). Após 6 semanas, o paciente apresentava melhora superior a 50% da verrucosidade das lesões. Na reavaliação, foi aplicada nova dose de toxina botulínica nos mesmos padrões, com melhora progressiva (Figura 3A e 3B).

 

DISCUSSÃO E CONCLUSÃO

Atualmente, não existem publicações sobre o uso da toxina botulínica para o tratamento de pênfigo vegetante. Apesar disso, ela tem se mostrado uma alternativa terapêutica promissora e de baixo risco para essa dermatose.9,12,13,14 Os mecanismos de ação da toxina botulínica ainda não estão completamente esclarecidos. Uma das hipóteses sugere que a inibição da fixação da acetilcolina nos receptores neuromotores das glândulas sudoríparas possa reduzir a sudorese e a atividade neural das glândulas écrinas.12,13,15,16 Ademais, postula-se que a toxina botulínica bloqueie a liberação de neuropeptídeos e outras substâncias envolvidas no processo inflamatório local.11,14 No presente caso clínico, observou-se melhora expressiva das lesões, com redução superior a 50% da verrucosidade em apenas 6 semanas e desaparecimento progressivo em um período de 6 meses. A principal hipótese é que a ação anidrótica e anti-inflamatória da toxina botulínica reduza o risco de infecções locais, tanto micro quanto macro, que poderiam acentuar o processo pró-inflamatório e agravar o quadro clínico. Baseados em publicações sobre o uso da toxina botulínica no tratamento de dermatoses, acreditamos que sejam necessárias reaplicações periódicas (a cada 6 meses, por exemplo) e otimização dos resultados. A toxina botulínica tipo A pode representar uma alternativa efetiva e de baixo risco para o tratamento do pênfigo vegetante refratário aos tratamentos convencionais. Entretanto, ainda são necessários ensaios clínicos que elucidem a melhor forma de utilização e o seu mecanismo de ação.

 

CONTRIBUIÇÃO DOS AUTORES:

André Pozzobon Capeletti
ORCID:
0000-0002-7226-0042
Aprovação da versão final do manuscrito; concepção e planejamento do estudo; elaboração e redação do manuscrito; obtenção, análise e interpretação dos dados; participação efetiva na orientação da pesquisa; participação intelectual em conduta propedêutica e/ou terapêutica de casos estudados; revisão crítica da literatura; revisão crítica do manuscrito.
Ana Paula Dornelles Manzoni
ORCID:
0000-0001-6184-4440
Aprovação da versão final do manuscrito; concepção e planejamento do estudo; participação efetiva na orientação da pesquisa; revisão crítica do manuscrito.
Rodrigo Pereira Duquia
ORCID:
0000-0001-6308-3585
Aprovação da versão final do manuscrito; concepção e planejamento do estudo; participação efetiva na orientação da pesquisa; revisão crítica do manuscrito.
Vanessa Vinderfeltes Padilha
ORCID:
0000-0001-6794-985X
Aprovação da versão final do manuscrito; concepção e planejamento do estudo; participação intelectual em conduta propedêutica e/ou terapêutica de casos estudados.

 

REFERÊNCIAS:

1. Porro AM, Seque CA, Ferreira MCC, Enokihara MMSS. "Penphigus vulgaris." An Bras Dermatol. 2019;94(3):264-78.

2. Messersmith L, Krauland K. Pemphigus Vegetans. In: StatPearls [Internet]. Treasure Island (FL): StatPearls Publishing; 2022.

3. Zaraa I, Sellami A, Bouguerra C, Sellami MK, Chelly I, Zitouna M, et al. Pemphigus vegetans: a clinical, histological, immunopathological and prognostic study. J Eur Acad Dermatol Venereol 2011;25(10):1160-7.

4. Danopoulou I, Stavropoulos P, Stratigos A, Chatziolou E, Chiou A, Georgala S, et al. Pemphigus vegetans confined to the scalp. Int J Dermatol. 2006;45(8):1008-9.

5. Mori M, Mariotti G, Grandi V, Gunnella S, Maio V. "Pemphigus vegetans of the scalp". J Eur Acad Dermatol Venereol. 2016;30(2):368-70.

6. Noama D, Ouafaa H, Nadia A, Said A, Anass F, Hanane R, et al. Pemphigus végétant: une forme rare de pemphigus. La Presse Médicale. 2014;43(5):e119-e134.

7. Lakhmiri M, Maouni S, Znati K, Meziane M, Ismaïli N, Benzekri L, et al. Pemphigus végétant [Pemphigus vegetans]. Ann Dermatol Venereol. 2020;147(1):78-9.

8. Huei LT, Yee EYW. Scalp involvement in pemphigus vegetans. J Cutan Med Surg. 2021;25(3):329.

9. Zhang H, Tang K, Wang Y, Fang R, Sun Q. Botulinum toxin in treating Hailey-Hailey disease: asystematic review. J Cosmet Dermatol. 2021;20(5):1396-402.

10. Messikh R, Atallah L, Aubin F, Humbert P. La toxine botulique dans les maladies dermatologiques invalidantes. Ann Dermatol Vénéréol. 2009;136(4):S129-S136.

11. Bansal C, Omlin KJ, Hayes CM, Rohrer TE. Novel cutaneous uses for botulinum toxin type A. J Cosmet Dermatol. 2006;5(3):268-72.

12. Martina E, Diotallevi F, Radi G, Campanati A, Offidani A. Therapeutic use of botulinum neurotoxins in Dermatol: systematic review. Toxins. 2021;13(2):120.

13. Lewandowski M, Świerczewska Z, Barańska-Rybak W. Off-Label use of botulinum toxin in dermatology-current state of the art molecules. 2022;27(10):3143.

14. Alster TS, Harrison IS. Alternative clinical indications of botulinum toxin. Am J Clin Dermatol 2020;21(6):855-80.

15. Kim YS, Hong ES, Kim HS. Botulinum toxin in the field of dermatology: novel indications. Toxins. 2017,9(12):403.

16. Campanati A, Martina E, Giuliodori K, Consales V, Bobyr I, Offidani A, et al. Botulinum toxin off-label use in dermatology: a review. Skin appendage disord. 2017;3(1):39-56.


Licença Creative Commons All content the journal, except where identified, is under a Creative Commons Attribution-NonCommercial 4.0 International license - ISSN-e 1984-8773