3247
Views
Open Access Peer-Reviewed
Relato de casos

Cilindroma: um raro tumor em localização típica

Ana Claudia Rolim Branco; Bruna Mendes Almeida; Clóvis Antônio Lopes Pinto; Célia Antônia Xavier de Moraes Alves

DOI: https://doi.org/10.5935/scd1984-8773.2024160332

Fonte de financiamento: Nenhuma.
Conflito de interesses: Nenhum.
Data de Submissão: 14/012/2023
Decisão final: 09/005/2024
Como citar este artigo: Branco ACR, Almeida BM, Pinto CAL, Alves CAXM. Cilindroma: um raro tumor em localização típica. Surg Cosmet Dermatol. 2024;16:e2024160332.


Abstract

O cilindroma é uma neoplasia benigna rara, com provável origem nas glândulas sudoríparas écrinas, e caracteriza-se por lesões papulosas e nodulares, indolores, de crescimento lento, em geral localizadas em cabeça, pescoço e couro cabeludo. Quando múltiplas, podem fazer parte de síndromes hereditárias. Os autores relatam o caso de uma paciente com nodulação solitária no couro cabeludo, apresentando exame anatomopatológico compatível com cilindroma. Foi realizada exérese da lesão, com resultado satisfatório e ausência de recidiva.


Keywords: Neoplasias das Glândulas Sudoríparas; Neoplasias Cutâneas; Enzima Desubiquitinante CYLD


RELATO DO CASO

Paciente do sexo feminino, 48 anos, procurou o Serviço de Dermatologia queixando-se do surgimento de uma pápula eritematosa no couro cabeludo há cerca de um ano, em crescimento progressivo, com evolução para nodulação indolor. Negava outras lesões cutâneas associadas. De antecedentes pessoais referia esquistossomose em acompanhamento regular. Negava antecedentes familiares com o mesmo quadro e uso de medicações contínuas. Ao exame dermatológico, observou-se lesão papulonodular, eritematosa, de consistência fibroelástica, superfície lisa e brilhante, em região parietal de couro cabeludo (Figuras 1 e 2). À dermatoscopia, foram visualizados vasos arboriformes na periferia da lesão, além de estrias brancas brilhantes e ulceração (Figura 3).

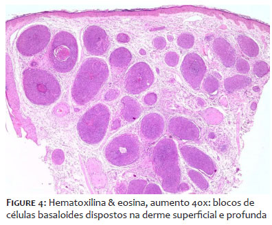
O exame anatomopatológico demonstrou neoplasia basaloide, formando blocos celulares de tamanhos variados, dispostos na derme superficial e profunda, permeados por matriz de colágeno e proliferação fusocelular estromal. Os blocos celulares apresentavam-se bem delimitados, assemelhando-se a peças de um quebra-cabeça. Ademais, as células eram redondas com núcleos monótonos, sem atipias, e, na periferia, identificava-se arranjo em paliçada. Por vezes, notava-se diferenciação ductal no centro dos blocos celulares (Figuras 4 e 5).

Firmou-se, então, o diagnóstico de cilindroma e optou-se pela exérese completa da lesão, sendo realizado fechamento com retalho duplo romboidal, com excelente resultado estético final.

 

DISCUSSÃO

O cilindroma é uma neoplasia benigna rara do anexo cutâneo, com provável origem nas glândulas sudoríparas écrinas, embora ainda haja divergência na literatura quanto à sua histogênese.1,2 Clinicamente, apresenta-se como lesões papulonodulares, firmes, fibroelásticas, bem circunscritas, indolores, de crescimento lento, róseas a avermelhadas ou, até mesmo, azuladas, variando em tamanho de alguns milímetros a alguns centímetros, e podem apresentar telangiectasias arboriformes em sua superfície. Em geral, desenvolvem-se como lesões solitárias em cabeça, pescoço e couro cabeludo.3-6 O crescimento confluente de múltiplos cilindromas cobrindo todo o couro cabeludo é conhecido historicamente como tumor turbante.3,4 São tumores frequentemente observados em mulheres de meia-idade e idosas, e nenhuma disparidade racial é relatada.1,6 Embora raramente possam ser encontrados de forma solitária e esporádica, os cilindromas, em especial quando múltiplos ou com um surgimento precoce, são observados em síndromes hereditárias autossômicas dominantes com mutações no gene CYLD.1,2,4,6 A cilindromatose familiar caracteriza-se por múltiplos cilindromas localizados geralmente no couro cabeludo. Cilindromas associados a múltiplos tricoepiteliomas são encontrados na síndrome de tricoepitelioma múltiplo familial. A síndrome de Brooke-Spiegler é considerada uma sobreposição dessas duas condições, caracterizada pela presença de numerosos tumores anexiais, localizados principalmente no couro cabeludo e na face, dentre eles cilindromas, espiradenomas e tricoepiteliomas.3,4,5,7 O aconselhamento genético pode ser indicado nos pacientes com múltiplos cilindromas, espiradenomas ou tricoepiteliomas ou na presença de um único cilindroma apresentando parente de primeiro grau com histórico de cilindroma.4,5 À dermatoscopia, pode-se verificar a presença de telangiectasias arboriformes, mais proeminentes na periferia do tumor, além de fundo homogêneo branco-rosado e estrias brancas lineares.8 Histologicamente, os cilindromas consistem em nódulos dérmicos, não encapsulados, formados por ninhos de células basaloides em um padrão típico de quebra-cabeça, separados por uma espessa membrana basal eosinófila. As células periféricas, em geral, são pequenas, hipercromáticas e apresentam-se em paliçada. Já as células centrais são maiores, pálidas e com núcleos vesiculares.3,4,6,9 A aparência histológica de aglomerados de ninhos de células basaloides similares a cilindros quando cortados transversalmente levou ao termo descritivo cilindroma.4,5 Pleomorfismo celular e mitoses geralmente estão ausentes.3 Embora rara, a transformação maligna pode ocorrer em cerca de 5 a 10% dos pacientes, sendo mais frequente naqueles com mutação no gene CYLD, dada a presença, em geral, de múltiplas lesões.1,3,4,9,10 As características clínicas suspeitas para malignidade incluem crescimento rápido, sangramento, ulceração e mudança na coloração.2,3,4,9 Nos casos suspeitos, a imagem radiológica, preferencialmente a ressonância nuclear magnética, deve ser considerada, tendo em vista a possibilidade de invasão local.5,6 O tratamento padrão consiste na excisão cirúrgica e é recomendado em casos de suspeita de transformação maligna, comprometimento funcional ou por motivos estéticos.1 Para lesões solitárias, curetagem e crioterapia são opções terapêuticas, enquanto para lesões pequenas, o laser de CO2 pode ser uma ferramenta.2,6 Por fim, as taxas de recorrência são relativamente altas, portanto recomenda-se uma remoção ampla e completa do tumor.2,5

 

CONTRIBUIÇÃO DOS AUTORES:

Ana Claudia Rolim Branco
ORCID:
0009-0006-9564-1813
Aprovação da versão final do manuscrito; elaboração e redação do manuscrito; participação efetiva na orientação da pesquisa; revisão crítica da literatura; revisão crítica do manuscrito.
Bruna Mendes Almeida
ORCID:
0000-0002-0804-5401
Aprovação da versão final do manuscrito; elaboração e redação do manuscrito; revisão crítica do manuscrito.
Clóvis Antônio Lopes Pinto
ORCID:
0000-0003-1711-0081
Aprovação da versão final do manuscrito; participação efetiva na orientação da pesquisa; revisão crítica do manuscrito.
Célia Antônia Xavier de Moraes Alves
ORCID:
0000-0002-8421-8837
Aprovação da versão final do manuscrito; participação efetiva na orientação da pesquisa; revisão crítica do manuscrito.

 

REFERÊNCIAS:

1. Cunha RA, Batista CB, Pinto FM, Issa MC, Rochael MC, Duraes SMB. Cylindroma: typical presentation of uncommon tumor. J Am Acad Dermatol. 2013;68(4):AB160.

2. Singh DD, Naujoks C, Depprich R, Schulte KW, Jankowiak F, Kubler NR, et al. Cylindroma of head and neck: review of the literature and report of two rare cases. J Craniomaxillofac Surg. 2013;41(6):516-521.

3. Russo R, Herzum A, Cozzani E, Paudice M, Guadagno A, Parodi A. Multiple rubbery nodules on the scalp. J Am Acad Dermatol. 2021;8:80-82.

4. Dubois A, Hodgson K, Rajan N. Understanding inherited Cylindromas: clinical implications of gene discovery. Dermatol Clin. 2017;35(1):61-71.

5. Rajan N, Ashworth A. Inherited cylindromas: lessons from a rare tumor. Lancet Oncol. 2015;16(9):460-469.

6. Massoumi R, Paus R. Cylindromatosis and the CYLD gene: new lessons on the molecular principles of epithelial growth control. Bioessays. 2007;29(12):1203-1214.

7. Jordao C, Magalhaes TC, Cuzzi T, Silva MR. Cylindroma: an update. Int J Dermatol. 2015;54(3):275-278.

8. Neema S, Sandhu S, Kashif A W. Dermoscopy of cylindroma. Indian Dermatol Online J. 2022;13(6):818–819.

9. Kazakov DV. Brooke-Spiegler syndrome and phenotypic variants: an update. Head Neck Pathol. 2016;10(2):125-130.

10. Mataix J, Banuls J, Botella R, Laredo C, Lucas A. Brooke-Spiegler syndrome: an heterogeneous entity. Actas Dermosifiliogr. 2006;97(10):669-672.


Licença Creative Commons All content the journal, except where identified, is under a Creative Commons Attribution-NonCommercial 4.0 International license - ISSN-e 1984-8773