7146
Views
Open Access Peer-Reviewed
Relato de casos

Carcinoma de células de Merkel: apresentação clínica, dermatoscópica e imuno-histoquímica de um tumor raro

Fernanda Freitas de Brito1; Tatiana Cristina Pedro Cordeiro de Andrade2; Letícia Marra da Motta1; Maria Lopes Lamenha Lins Cavalcante1; Cleverson Teixeira Soares3; Sadamitsu Nakandakari3

DOI: https://doi.org/10.5935/scd1984-8773.201683667

Data de recebimento: 09/07/2015
Data de aprovação: 27/03/2016
Suporte financeiro: Nenhum
Conflito de interesse: Nenhum

Abstract

Carcinoma de células de Merkel é tumor cutâneo neuroendócrino raro e altamente agressivo. Objetiva-se neste artigo alertar para a possibilidade desse diagnóstico, geralmente não considerado hipótese inicial em neoplasias cutâneas. Relatamos dois casos de pacientes do sexo feminino, idosas com queixa de nódulo único eritematoso na face. Aventaram-se hipóteses diagnósticas de carcinoma basocelular e melanoma amelanótico. À dermatoscopia foi evidente a presença de telangiectasias O exame histopatológico da biópsia incisional diagnosticou carcinoma de células de Merkel. Essa neoplasia ocorre tipicamente em pacientes brancos, acima de 65 anos, manifestando-se como nódulo eritêmato-violáceo, de crescimento rápido, sendo a imuno-histoquímica essencial para o diagnóstico.


Keywords: NEOPLASIAS CUTÂNEAS; CARCINOMA DE CÉLULA DE MERKEL; TUMORES NEUROENDÓCRINOS; IMUNO-HISTOQUÍMICA


INTRODUÇÃO

O carcinoma de células de Merkel (CCM) ou carcinoma neuroendócrino primário da pele foi descrito pela primeira vez por Cyril Toker,1-3 em 1972. Trata-se de uma proliferação maligna de células altamente anaplásicas, que compartilham características com células derivadas do neuroectoderma. A incidência estimada nos Estados Unidos é de 0,32 caso/100.000 pessoas.3 Observa-se aumento no número de casos relatados, principalmente após o surgimento de novos marcadores imunohistoquímicos.2 Raramente suspeita-se da lesão. Em estudo de 106 casos diagnosticados como CCM primário, só em 1% deles foi aventada essa hipótese clínica.3 Objetiva-se com o relato desses dois casos diagnosticados em serviço de referência alertar para a possibilidade do CCM, frequentemente não considerado como hipótese inicial em neoplasias cutâneas, bem como enfatizar a importância do diagnóstico e do tratamento precoces.

 

RELATO DE CASO

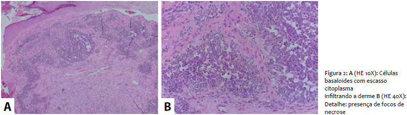
Caso 1: Paciente, do sexo feminino, 78 anos, procurou atendimento queixando-se de lesão nodular na região préauricular esquerda há cerca de dois meses. Como antecedentes pessoais apresentava hipertensão arterial sistêmica e hipotireoidismo. Ao exame dermatológico, observava-se nódulo eritematoso único, de 3cm de diâmetro, com telangiectasias na superfície, localizado na região pré-auricular esquerda (Figura 1A). À dermatoscopia ficava evidente a presença das telangiectasias (Figura 1B). Dados a história clínica e o exame dermatológico, aventaram-se as hipóteses diagnósticas de carcinoma basocelular e melanoma amelanótico. Foi então realizada a biópsia incisional com envio do material para estudo histológico e imuno-histoquímico. O resultado anatomopatológico evidenciou infiltração de células basaloides com escasso citoplasma na derme (Figura 2A) e presença de focos de necrose (Figura 2B). A imuno-histoquímica foi positive para citoqueratina (CK) 20, cromogranina, sinaptofisina, CD56 e AE1/AE3 (Figuras 3 A e B), confirmando o diagnóstico de carcinoma neuroendócrino de células de Merkel.

A paciente foi encaminhada para tratamento cirúrgico em nosso serviço, realizando exérese com margem de três centímetros e sutura contínua ancorada das bordas com náilon 4.0 para hemostasia (Figuras 4 A, B e C) e cicatrização por segunda intenção com curativo de carvão ativado. Retornou para curativos semanais mantendo o carvão ativado até a nona semana e, após, curativo com Kollagenase® (Cristalia Produtos Químicos, São Paulo, Brasil) cicatrização completa (Figura 4D).

Caso 2: Paciente, do sexo feminino, 87 anos, viúva, trabalhadora rural, procurou atendimento queixando-se de lesão nodular em região mandibular esquerda de surgimento há cinco meses e com crescimento progressivo. Como antecedentes pessoais relatava pneumopatia em uso de aminofilina, sendo ex-tabagista de cigarro de palha, que fumou durante 50 anos. Ao exame dermatológico, observava-se nódulo de superfície eritematosa, lisa, brilhante na região mandibular à esquerda com 5cm de diâmetro, e muitas telangiectasias na superfície (Figura 5A). Presença de linfonodo perilesional palpável, endurecido e imóvel. À dermatoscopia evidenciava-se a presença de telangiectasias (Figura 5B). De acordo com a história clínica e exame dermatológico aventaram-se as hipóteses de carcinoma de Merckel e melanoma amelanótico. Após biópsia incisional e envio do material para estudo histológico e imuno-histoquímico, o resultado anatomopatológico evidenciou neoplasia de células pequenas indiferenciadas penetrando a derme (Figura 6A) com pequenas células com escasso citoplasma amoldadas na derme (Figura 6B). A imuno-histoquímica foi positiva para enolase e sinaptofisina (Figura 7), confirmando o diagnóstico de carcinoma neuroendócrino de células de Merkel. A paciente foi encaminhada para tratamento cirúrgico no serviço de oncologia devido presença de linfonodo satélite palpável e metástase para glândula parótida.

 

DISCUSSÃO

Carcinoma de células de Merkel é tumor cutâneo neuroendócrino altamente agressivo.1,4,5 Ocorre tipicamente em pacientes brancos, acima de 65 anos, com discreta predominância em homens,2,3,5 o que não se observou em nossos dois casos. Clinicamente manifesta-se como nódulo único, indolor, eritêmato-violáceo,4,3,6,7 de crescimento rápido e agressivo.2,5 As telangiectasias são frequentemente observadas. Os locais mais acometidos são a cabeça e o pescoço (40-50%),2 seguidos por tronco e membros. A etiologia permanece incerta, sendo controversa a hipótese de que esse tumor se origine das células de Merkel – mecanorreceptor da camada basal da epiderme - ou de células-tronco pluripotentes que posteriormente se diferenciam em neuroendócrinas.2,3,5 Em estudo de 27 casos de CCM, 41% deles estavam associados com outras lesões epiteliais, como carcinoma de células escamosas in situ, carcinoma invasivo de células escamosas, carcinoma basocelular e ceratose actínica.1,3 Esses achados fortalecem a hipótese da origem de células-tronco pluripotentes na epiderme, potencializadas pelo efeito mutagênico de radiação ultravioleta.3 Outros fatores de risco incluem: imunossupressão e infecção pelo poliomavírus.1,3 A imuno-histoquímica é essencial para diagnóstico diferencial com outros tumores.3 Há positividade para proteínas epiteliais como as citoqueratinas e marcadores neuroendócrinos como enolase neurônio-específica, sinaptofisina, CD56 e cromogranina A.2,3,6,8 A citoqueratina 20 (CK20), em particular, é um importante marcador do CCM, com alta especificidade.2 Cerca de 5% dos pacientes não expressam CK20. O diagnóstico diferencial inclui hemangioma, angiossarcoma, linfoma cutâneo de pequenas células, câncer de pele não melanoma, melanoma amelanótico, sarcoma de Ewing, metástases cutâneas de carcinoma pulmonar de pequenas células, neuroblastoma e radbomiossarcoma.2 Diferente de outros cânceres de pele não melanoma, o CCM apresenta alta propensão à metástase regional e a distância.2 A disseminação linfonodal é precoce e frequente, com aproximadamente 20% dos casos apresentando linfonodos clinicamente positivos.2 Os principais sítios de metástases são fígado, ossos, pulmão, cérebro e linfonodos não regionais.2,5,6 Devido à raridade do tumor, há poucos protocolos de tratamento com base em evidências, mas cirúrgia e radioterapia são as principais terapêuticas.1 O tratamento inicial consiste em uma excisão cirúrgica com margens superiores a 3cm.2,5,8 A indicação de linfadenectomia profilática devido à alta probabilidade de metástases linfonodais é discutível, já que, apesar de ocorrer maior controle locorregional da doença, não apresenta melhora na sobrevida.5 A radioterapia adjuvante é frequentemente recomendada e está associada com diminuição da recorrência local, locorregional e com aumento na sobrevida.2,5 A quimioterapia adjuvante é discutível, e seu uso limitado.5 O diagnóstico clínico do CCM é complexo, porém sua suspeição é importante para o diagnóstico e tratamento precoces,3,5 fatores que podem modificar a sobrevida do paciente.

 

Referências

1. Saxena A, Rubens M, Ramamoorthy V, Khan H. Risk of Second Cancers in Merkel Cell Carcinoma: A Meta-Analysis of Population Based Cohort Studies. J Skin Cancer. 2014: 1-7.

2. Mello DF, Ricciluca L, Felix M, Rodrigues A, Junior AH. Carcinoma das células de Merkel: relato de 2 casos. Rev Bras Cir Plást. 2010; 25(1): 217-21.

3. Rossoe EWT, Fernandes KKML, Prado IDF, Bazzo ILMS, Tebcherani AJ, Santos TC. Tumor de Merkel: relato de caso. Surg Cosmet Dermatol. 2012; 4(3): 268-70.

4. Priante AVM, Alves FV, Taborda MF, Oliveira, MF. Carcinoma de células de Merkel em pele de face. Rev Bras OncoL Clín. 2012; 8(28): 88-90.

5. Almeida MWR, Lopes CC, Junior HLA, Costa LE. Carcinoma de células de Merkel em extremidade inferior. Rev Col Bras Cir. 2012; 39(2): 165-67.

6. Becker JC. Merkel cell carcinoma. Ann Oncol. 2010; 21(7): 81-5.

7. Marchesi A, Parodi PC, Brioschi M, Sileo G, Marchesi M, Vaienti L. Giant Merkel cell carcinoma of the lower limb: case report and review of the literature. J Cutan Med Surg. 2013;17(5): 351-5.

8. Lien MH, Baldwin BT, Thareja SK, Fenske NA. Merkel Cell Carcinoma: Clinical Characteristics, Markers, Staging and Treatment. J Drugs Dermatol. 2010; 9(7): 779-84.

 

Trabalho realizado no Instituto Lauro de Souza Lima (ILSL) - Bauru (SP), Brasil.


Licença Creative Commons All content the journal, except where identified, is under a Creative Commons Attribution-NonCommercial 4.0 International license - ISSN-e 1984-8773