887
Views
Open Access Peer-Reviewed
Relato de caso

Tumor de colisão entre melanoma e carcinoma basocelular: relato de caso com dermatoscopia exuberante

Sabrina Covre Jaques1; Isadora Busto Silva2; Beatriz Azevedo Nunes1; Carlos Augusto Silva Bastos2; Betina Werner3

DOI: https://doi.org/10.5935/scd1984-8773.2025170487

Fonte de financiamento: Nenhuma
Conflito de interesses: Nenhum
Data de submissão: 26/06/2025
Decisão final: 22/09/2025
Como citar este artigo: Jaques SC, Silva IB, Nunes BA, Bastos CAS, Werner B. Tumor de colisão entre melanoma e carcinoma basocelular: relato de caso com dermatoscopia exuberante. Surg Cosmet Dermatol. 2025;17:e20250487.


Abstract

Um tumor de colisão é uma condição rara que ocorre quando dois ou mais tumores cutâneos coexistem na mesma região anatômica. O objetivo deste estudo é apresentar o caso de um paciente do sexo masculino, 70 anos, com um tumor de colisão entre melanoma in situ e carcinoma basocelular de padrão nodular, abordando os aspectos clínicos, histológicos e terapêuticos ressaltando a importância do diagnóstico diferencial em neoplasias cutâneas complexas. Dado o número limitado de casos na literatura, é difícil prever a evolução biológica dos tumores de colisão. Assim, faz-se necessário o seguimento rigoroso dos pacientes e mais estudos que contribuam para o entendimento sobre essa condição.


Keywords: Tumor de Colisão; Melanoma; Carcinoma Basocelular; Dermatoscopia


INTRODUÇÃO

A presença simultânea de duas populações celulares neoplásicas distintas em regiões adjacentes, mantendo fronteiras histológicas bem delimitadas, define os tumores de colisão. Trata-se de um evento extremamente raro quando envolve duas neoplasias malignas.1,2 A literatura disponível sobre essa entidade permanece limitada, tanto em relação ao número de casos documentados quanto à elucidação dos mecanismos que resultam na coexistência de dois padrões distintos de diferenciação tumoral.

Este relato de caso descreve um paciente com um tumor de colisão entre melanoma e carcinoma basocelular (CBC), abordando aspectos clínicos, histológicos e terapêuticos, ressaltando a importância do diagnóstico diferencial em neoplasias cutâneas complexas.

 

CASO CLÍNICO

Um homem de 70 anos, trabalhador da construção civil, foi encaminhado ao serviço de Dermatologia devido a lesão no dorso. O paciente não sabia informar a quanto tempo a lesão estava presente, as possíveis alterações ectoscópicas ao longo do tempo ou os sintomas associados. Como comorbidades, apresentava hipertensão arterial e arritmia cardíaca.

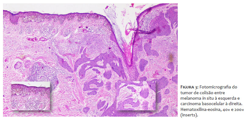
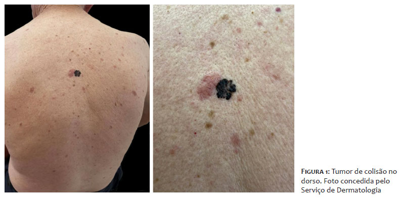
Ao exame dermatológico completo, observou-se uma placa assimétrica de bordas irregulares, de aproximadamente 2,94 × 2,55 cm, composta por duas lesões adjacentes com características distintas (Figura 1). À esquerda, a lesão era eritematosa, mal delimitada, elevada, com telangiectasias arboriformes de grosso calibre e pequenas ulcerações à dermatoscopia, medindo cerca de 1,41 × 2,55 cm. À direita, a lesão apresentava coloração enegrecida, bem delimitada, medindo 1,57 × 1,53 cm, com padrão dermatoscópico multicomponente, evidenciando rede atípica, estrias ramificadas, áreas amorfas e véu cinza-azulado (Figura 2). Não foram identificadas linfonodomegalias ao exame físico.

Foi realizada a ressecção da lesão, e o exame histopatológico confirmou o diagnóstico de tumor de colisão, composto por um melanoma in situ (à direita) e um CBC de padrão nodular (à esquerda). O melanoma apresentava nível de Clark I, ausência de ulceração, ausência de mitoses, embolização linfovascular e neurotropismo, infiltração linfocitária moderada, regressão tumoral presente e inferior a 75%, ausência de microssatelitose e margens laterais e profunda livres (Figura 3). A neoplasia melanocítica era composta por células isoladas e ninhos de células epitelioides atípicas, com disseminação pagetoide multifocal e abundante pigmentação. Na derme subjacente, observou-se derrame pigmentar, infiltrado linfocitário moderado e sinais de dano actínico severo. O CBC apresentava padrão nodular, sólido e adenoide, com áreas infiltrativas e pigmentação focal; ulceração; acometimento até a derme reticular média; ausência de infiltração perineural; e margens laterais e profundas livres.

O paciente foi submetido à ampliação de margens e o exame anatomopatológico revelou dano actínico, alterações cicatriciais e hiperplasia melanocítica difusa de padrão reacional.

No seguimento, a ferida operatória apresentava-se íntegra, sem sinais de recidiva. Foi identificada uma nova lesão no peitoral direito, não melanocítica, cujo exame anatomopatológico confirmou o diagnóstico de CBC pigmentado e ulcerado, com padrão de crescimento expansivo. O paciente permaneceu em seguimento regular no serviço, sem novas lesões ou suspeita de recidiva local.

 

DISCUSSÃO

Entre os tumores de colisão, os relatos de melanoma com CBC são infrequentes. A colisão de tumores benignos ou malignos resulta da proliferação de células de linhagens diferentes, podendo coexistir na mesma lesão e formar combinações de tumores.3

Tumores de colisão são definidos como a ocorrência de duas neoplasias muito próximas que mantêm fronteiras bem delimitadas entre si.1 Alguns autores sugerem a possibilidade de uma histogênese única cujo comportamento biológico é desconhecido.4 Outros consideram que as combinações ocorrem por coincidência, enquanto outros ainda levantam a hipótese de que a presença de um tumor pode induzir alterações estromais responsáveis pelo desenvolvimento de um segundo tumor.2 No caso da colisão entre melanoma e CBC, o melanoma pode surgir de forma aleatória a partir de ninhos de células melanocíticas presentes no interior do CBC.5

A associação entre duas neoplasias malignas é um evento raro. O primeiro caso documentado de melanoma associado a CBC foi relatado por Kao em 1983.2 A maior revisão sobre o tema analisou 78.000 biópsias de câncer de pele e identificou apenas 11 casos de colisão entre melanoma e CBC.3 Desses, sete estavam localizados no tronco e quatro nos membros superiores. Entre os pacientes, seis eram homens e cinco eram mulheres, com idade média de 53 anos.3

A literatura ainda contém poucos relatos sobre a condição, bem como sobre a etiologia exata dessa diferenciação bidirecional, e os relatos sobre tumores de colisão entre CBC e melanoma são ainda mais escassos. Uma revisão da literatura identificou 27 casos de tumores de colisão envolvendo melanoma e CBC, a maioria sem mistura entre as células dos tumores e com margens bem delimitadas.6

Devido à raridade desses casos, ainda há debate sobre a terminologia mais adequada. Os nomes propostos na literatura incluem “tumor basal melanocítico maligno”, que descreve um tumor bifásico composto de CBC e melanoma maligno7; “colonização”, referindo-se à situação única em que melanoma in situ se estende e coloniza um CBC3; “melanoma associado ao CBC”.2

Estudos indicam que tumores de colisão, como o do melanoma com CBCs e carcinomas espinocelulares (CECs), ocorrem com maior frequência em pacientes expostos a intensa radiação solar ou com predisposição genética, refletindo a complexidade dos processos carcinogênicos.8 No presente relato de caso, o paciente apresentava fatores de risco como fototipo baixo e exposição solar considerável. Tumores de colisão parecem acometer mais homens do que mulheres, com maior incidência após os 50 anos de idade.3 Relatos de casos de colisão tumoral envolvem diversas regiões anatômicas, incluindo dorso, região cervical, orelhas e face.5,9,10,11 Embora melanomas associados a CBC ou CEC possam, em algumas situações, apresentar comportamento menos agressivo, há relatos de casos com desfechos fatais, frequentemente associados a índices de Breslow superiores a 1,5 mm.3 O prognóstico e o tratamento dependem do tumor mais agressivo, mas intervenções precoces e ressecção com margens adequadas geralmente resultam em desfechos favoráveis, como observado no presente caso.6

O seguimento ambulatorial por um período de 5 a 10 anos é essencial para avaliar possíveis recidivas locais e o diagnóstico precoce de um segundo melanoma primário em outra localização. Pacientes com histórico prévio de melanoma apresentam um risco de 10% de desenvolver um segundo melanoma em 5 anos.6 Após um segundo episódio, essa probabilidade aumenta para 30%.6 Neste relato de caso, foi diagnosticado um novo CBC em região peitoral durante o seguimento, sem outras lesões melanocíticas suspeitas até início de 2025.

 

CONCLUSÃO

Dado o número limitado de relatos de caso na literatura, é difícil prever a evolução biológica dessas lesões. Assim, o seguimento rigoroso dos pacientes e mais estudos que contribuam para o entendimento sobre essa condição se fazem necessários.

 

CONTRIBUIÇÃO DOS AUTORES:

Sabrina Covre Jaques
ORCID: 0000-0001-5617-0533
Aprovação da versão final do manuscrito, Concepção e planejamento do estudo, Elaboração e redação do manuscrito, Obtenção, análise e interpretação dos dados, Revisão crítica da literatura, Revisão crítica do manuscrito.
Isadora Busto Silva
ORCID: 0000-0003-3502-1840
Aprovação da versão final do manuscrito, Concepção e planejamento do estudo, Elaboração e redação do manuscrito, Obtenção, análise e interpretação dos dados, Revisão crítica da literatura, Revisão crítica do manuscrito.
Beatriz Azevedo Nunes
ORCID: 0000-0001-8057-0799
Aprovação da versão final do manuscrito, Concepção e planejamento do estudo, Elaboração e redação do manuscrito, Obtenção, análise e interpretação dos dados, Revisão crítica da literatura, Revisão crítica do manuscrito.
Carlos Augusto Silva Bastos
ORCID: 0000-0003-0255-2696
Aprovação da versão final do manuscrito, Concepção e planejamento do estudo, Elaboração e redação do manuscrito, Obtenção, análise e interpretação dos dados, Participação efetiva na orientação da pesquisa, Participação intelectual em conduta propedêutica e/ou terapêutica de casos estudados, Revisão crítica da literatura, Revisão crítica do manuscrito.
Betina Werner
ORCID: 0000-0002-9671-5603
Aprovação da versão final do manuscrito, Concepção e planejamento do estudo, Elaboração e redação do manuscrito, Obtenção, análise e interpretação dos dados, Participação efetiva na orientação da pesquisa, Participação intelectual em conduta propedêutica e/ou terapêutica de casos estudados, Revisão crítica da literatura, Revisão crítica do manuscrito.

 

REFERÊNCIAS:

1. Boyd AS, Rapini RP. Cutaneous collision tumors: an analysis of 69 cases and review of the literature. Am J Dermatopathol. 1994;16:253-7.

2. Papa G, Grandi G, Pascone M. Collision tumor of malignant skin cancers: a case of melanoma in basal cell carcinoma. Pathol Res Pract. 2006;202:691-4.

3. Satter EK, Metcalf J, Lountzis N, Elston DM. Tumors composed of malignant epithelial and melanocytic populations: a case series andreview of the literature. J Cutan Pathol. 2009;36(2):211-9

4. Scruggs JM, Rensvold EA, Parekh PK, Butler DF. Cutaneous collision cancers: a report of two squamomelanocytic malignancies and review of the literature. Dermatol Surg. 2011;37(11):1679-83.

5. Hirakawa E, Miki H, Kobayashi S, Nomura Y, Ohmori M. Collision tumor of cutaneous malignant melanoma and basal cell carcinoma. Pathology - Research and Practice, 1998;194(9):649–53.

6. Medeiros PM, Alves NRM, Silva CC, Faria PCP, Barcaui CB, Piñeiro-Maceira J. Colisão de neoplasias malignas na pele: melanoma associado a carcinoma basoescamoso. An Bras Dermatol. 2015;90(3 Supl 1):S38-41.

7. Pool SE, Manieei F, Clark WH, Harrist TJ. Dermal squamomelanocytic tumor: a unique biphenotypic neoplasm of uncertain biological potential. Hum Pathol 1999;30:525.

8. Sahu, AK. "Coexistence of melanoma and non-melanoma skin cancer: a rare occurrence." Clin Exp Dermatol. 2019;44(5):510-3.

9. Coskey RJ, Mehregan AH. The association of basal cell carcinomas with other tumors. J Dermatol Surg Oncol. 1987;13:553–5.

10. Burkhalter A, White WL. Malignant melanoma in situ colonizing basal cell carcinoma: a simulator of invasive melanoma. Am J Dermatopathol. 1997;19:303–7.

11. Wang H, Benda PM, Piepkorn MW. Parasitism of basal cell carcinoma by lentigo maligna melanoma. J Am Acad Dermatol. 2003;48:S92–4.


Licença Creative Commons All content the journal, except where identified, is under a Creative Commons Attribution-NonCommercial 4.0 International license - ISSN-e 1984-8773