1354
Views
Open Access Peer-Reviewed
Relato de caso

Onicomatricoma: sempre um desafio diagnóstico

Soraya Neves Marques Barbosa dos Santos; Sílvia Iovine Kobata; Isabela Boechat Morato; Natália de Paiva Sobreira

DOI: https://doi.org/10.5935/scd1984-8773.2025170408

Fonte de financiamento: Nenhuma.
Conflito de interesses: Nenhum.
Data de submissão: 18/09/2024
Decisão final: 27/02/2025
Como citar este artigo: Santos SNMB, Kobata SI, Morato IB, Sobreira NP. Onicomatricoma: sempre um desafio diagnóstico. Surg Cosmet Dermatol. 2025;17:e20250408.


Abstract

O onicomatricoma é um tumor raro e benigno do aparelho ungueal. Achados clínicos, dermatoscópicos e eventualmente exames de imagem e histopatologia confirmam o diagnóstico. Relatamos o caso de um paciente masculino de 15 anos submetido a múltiplos tratamentos prévios para outros diagnósticos sem resposta. A hipercurvatura transversa e as projeções digitiformes na lâmina ungueal, complementadas pela análise histopatológica, confirmaram a hipótese de onicomatricoma. A relevância do diagnóstico correto e da devida condução terapêutica nesses casos poupa sofrimento para o paciente e otimiza recursos públicos que seriam gastos em inúmeras consultas e longo período até o diagnóstico.


Keywords: Unhas Malformadas; Onicomicose; Unhas; Neoplasias de Anexos e de Apêndices Cutâneos.


INTRODUÇÃO

O onicomatricoma (OM) é um tumor raro e benigno do complexo ungueal, de origem ainda incerta, que ocorre principalmente na matriz ungueal dos dedos das mãos. A apresentação clínica clássica inclui faixa amarelada espessa na lâmina ungueal, com tendência à hipercurvatura transversa, e frequentemente são observados os achados de hemorragia em estilhaço e cavitações na porção distal da lâmina ungueal.1-3 Em geral assintomático e raramente associado a paroníquia crônica, o OM pode podendo ocasionar dor importante e prejuízo na qualidade de vida.2 Na literatura, encontramos vários relatos de um longo percurso assistencial de pacientes até o devido diagnóstico e tratamento adequado.4,5 Este artigo relata um caso clínico referenciado ao serviço de dermatologia tratado por anos como onicomicose, cujo diagnóstico clínico e histopatológico foi compatível com OM. São discutidos a seguir critérios clínicos e complementares para um diagnóstico mais precoce e assertivo.

 

RELATO DE CASO

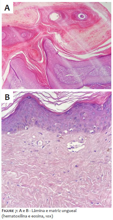
Paciente de sexo masculino, de 48 anos de idade, leucoderma, assistente de informática, compareceu ao serviço de Dermatologia se queixando de alteração da espessura e coloração da unha do hálux direito iniciadas há cerca de 15 anos, acompanhada por dor intensa há 1 ano, com piora progressiva e prejuízo da deambulação. Já havia realizado diversos tratamentos prévios para onicomicose com terbinafina oral e antifúngicos tópicos em outro serviço, sem melhora. Relatou episódios de agudização da dor com drenagem de secreção purulenta periungueal com necessidade de antibioticoterapia sistêmica em diversas ocasiões, além do uso frequente de anti-inflamatórios não esteroidais para alívio da dor. Ao exame dermatológico, o hálux direito apresentava lâmina ungueal espessada e amarelada, com faixa bem delimitada de hiperceratose e hipercurvatura transversa contendo projeções digitiformes e focos de hemorragia em estilhaço, melhor evidenciados à dermatoscopia. Havia também edema e calor da dobra ungueal proximal (Figuras 1 e 2). O exame micológico direto do leito ungueal apresentou resultado negativo, porém na cultura houve crescimento de Trichophyton mentagrophytes. Em radiografia de hálux direito (Figura 3), houve dúvida quanto à presença de lesão falangeana distal em saca-bocado em área subjacente à lesão ungueal. Foi solicitada ressonância magnética de hálux direito (Figuras 4 e 5), que evidenciou lesão ovalada em matriz, com hipossinal em T1 e sinal heterogêneo em T2, de limites imprecisos sem infiltração de partes moles, porém ocasionando remodelamento do contorno ósseo. Optou-se por abordagem cirúrgica com biópsia excisional de lesão para confirmação diagnóstica, sendo realizado bloqueio anestésico distal, descolamento da lâmina ungueal e exérese de lesão exofítica medindo 1,5 cm por 0,5 cm em matriz ungueal. No peroperatório foi evidenciada a presença de projeções digitiformes da placa ungueal em direção à lesão da matriz (Figura 6). A análise histopatológica, com coloração de hematoxilina eosina, evidenciou lâmina ungueal com cavitações preenchidas por plasma e tumor fibroepitelial com projeções digitiformes do epitélio matricial e alguns mastócitos de permeio, compatível com o diagnóstico de OM (Figuras 7 A, B).

 

DISCUSSÃO

OM é um tumor fibroepitelial raro e benigno da matriz ungueal que ainda representa um desafio diagnóstico. Originalmente descrito por Baran e Kint em 1992,6 apresenta expressão peculiar de CD34 em seu compartimento de tecido conjuntivo.2,7 A incidência é maior em caucasianos, com mais relatos em mulheres, embora alguns autores afirmem não haver predominância por sexo. Ocorre principalmente em torno da quinta década de vida, porém há relato de caso na infância.7,8 A matriz ungueal dos quirodáctilos é afetada com mais frequência (63%), com o indicador respondendo por dois terços dos casos; já os pododáctilos são acometidos em 36% dos casos, e vários dígitos podem ser afetados simultaneamente, embora isso não seja comum.2

A clínica é caracterizada por uma porção bem demarcada da placa ungueal com evidente espessamento, presença de hemorragia em estilhaço, hipercurvatura transversa e xantoníquia, sendo esta o sinal mais comum, observado em pouco mais de 50% dos casos.2 Outras características incluem: eritema e edema da prega ungueal proximal, sulco longitudinal proeminente, melanoníquia longitudinal, onicodistrofia e pterígio dorsal.2,9 Pode ou não haver dor associada. O achado de projeções digitiformes é bastante sugestivo após a avulsão cirúrgica da lâmina ungueal.5 Os diagnósticos diferenciais principais são o fibroqueratoma e o fibroma periungueal, mas também incluem carcinoma de células escamosas, doença de Bowen, verruga vulgar subungueal, queratoacantoma, osteocondroma e infecções fúngicas e bacterianas. Pode apresentar-se também com melanoníquia longitudinal associada, incluindo como diagnóstico diferencial as desordens de proliferação e ativação de melanócitos da matriz ungueal.2 A coexistência de OM e onicomicose é comum, uma vez que as cavitações tornam a placa ungueal mais susceptível a infecções fúngicas secundárias. Casos de OM frequentemente são tratados como onicomicose, levando ao atraso do diagnóstico e uso desnecessário de medicações sem resposta.10,11 Portanto, o achado de hifas hialinas septadas ao exame micológico direto ou o crescimento fúngico em cultura não excluem o diagnóstico de OM, e a ausência de resposta à terapia padrão deve sugerir a hipótese de outros diagnósticos diferenciais.4 Na dermatoscopia há espessamento da placa ungueal com múltiplas cavitações semelhantes a favo de mel (70%), estrias hemorrágicas (72%) e sulcos longitudinais brancos que correspondem aos canais da placa ungueal (71%). As cavitações em favo de mel podem ser preenchidas por material de pigmentação amarelada ou vermelha a preta. Enquanto os padrões de espessamento da placa e hemorragia em estilhaço não apresentam grande especificidade, podendo estar presentes em casos de onicomicose isoladas, a presença de sulcos brancos longitudinais paralelos associados à demarcação lateral da lesão e cavitações em favo de mel possui grande especificidade.2,4,5,7,12 Podem ser solicitados exames complementares para excluir acometimento ósseo e explorar a presença do OM, porém tais exames não são necessários para confirmação diagnóstica. A ultrassonografia tem maior valor preditivo quando realizada por profissional experiente e pode evidenciar áreas hipoecogênicas na matriz ungueal com áreas lineares hiperecogênicas adjacentes, que correspondem às projeções digitiformes.5,11 A radiografia do dígito acometido é um exame de fácil acesso e pode excluir acometimento ósseo, mas não apresenta sinais típicos para a conclusão diagnóstica. A ressonância magnética, apesar de não ser necessária de rotina, evidencia hipocaptação de sinal em lesão e em matriz ungueal e hipercaptação de sinal adjacente correspondendo às projeções tumorais.3,5 No caso apresentado, a radiografia apresentava imagem duvidosa em falange distal do hálux direito, que poderia corresponder ao acometimento ósseo -(lesão em saca bocado), então optou-se por um segundo exame de imagem antes da abordagem cirúrgica para melhor planejamento. Na histologia, os OM são tumores fibroepiteliais compostos por duas porções distintas. A zona proximal é caracterizada por invaginações epiteliais profundas ocupadas por saliências ungueais. A zona distal abrange as digitações epiteliais originárias do epitélio da matriz, que prolifera e causa perfurações na lâmina ungueal.2,13,14 A imuno-histoquímica é de grande auxílio diagnóstico, com positividade para CD34 e negatividade para marcadores CD99, proteína S-100, antígeno epitelial de membrana, actina e desmina.1 A suspeição clínica somada a exames complementares como radiografia, ultrassonografia, ressonância magnética e dermatoscopia tem grande valor, mas o diagnóstico só pode ser confirmado após análise histopatológica.5,7 O tratamento consiste na excisão cirúrgica completa do tumor, incluindo a matriz ungueal normal proximal à lesão para prevenir recidiva local. Apesar de se tratar de um tumor benigno, recomenda-se seguimento a longo prazo devido ao risco de recidiva. Não raramente complica com distrofia ungueal permanente.2,15 Apesar de apresentar características clínicas e intraoperatórias clássicas, a falta de conhecimento sobre essa doença e sua tendência a ser assintomática contribuem para um diagnóstico tardio. Diante de um caso de aparente onicomicose intratável associada à hipercurvatura transversa, espessamento ungueal e hemorragias em estilhaço, deve-se suspeitar de OM subjacente.

 

CONTRIBUIÇÃO DOS AUTORES:

Soraya Neves Marques Barbosa dos Santos
ORCID:
0000-0001-5138-8584
Aprovação da versão final do manuscrito, Concepção e planejamento do estudo, Elaboração e redação do manuscrito, Obtenção, análise e interpretação dos dados, Participação efetiva na orientação da pesquisa, Participação intelectual em conduta propedêutica e/ou terapêutica de casos estudados, Revisão crítica da literatura, Revisão crítica do manuscrito.
Sílvia Iovine Kobata
ORCID:
0000-0002-9079-6940
Participação intelectual em conduta propedêutica e/ou terapêutica de casos estudados, Revisão crítica da literatura, Revisão crítica do manuscrito.
Isabela Boechat Morato
ORCID:
0000-0002-2542-4454
Participação intelectual em conduta propedêutica e/ou terapêutica de casos estudados.
Natália de Paiva Sobreira
ORCID:
0000-0002-8460-1289
Elaboração e redação do manuscrito, Obtenção, análise e interpretação dos dados, Participação intelectual em conduta propedêutica e/ou terapêutica de casos estudados.

 

REFERÊNCIAS:

1. Figueiredo LA, Ribeiro RS, Melo ALB, Lima AL, Terra BB, Ventim FC. Polypropylene prosthesis for the treatment of fingertip injuries. Description of surgical technique and results. Rev Bras Ortop. 2017;52(6):685-92.

2. Carrai LHM, Rodrigues EF, Lima TFM, Sasseron MGM, Gomes Neto A. Delayed surgical closure (secondary intention) using the Figueiredo Technique: a case series study. Surg Cosmet Dermatol. 2023;15:e20230212.

3. Muniz AAS, Muniz MT, Figueiredo LA, Figueiredo PH, Oliveira BG. Use of the Figueiredo Technique for the treatment of ring avulsion injury: a case report. BioRes Scientia. 2024;2(2):1-4.

4. Figueiredo LA, Ribeiro RS, Figueiredo PH, Lima ALM, Oliveira FM, Oliveira Júnior DS. Comparison between Atasoy-Kleinert V-Y Advancement Flap and Figueiredo Techniques for the treatment of transverse and dorsal oblique fingertip injuries. Rev Bras Ortop. 2022;59(5): e712–e718.

5. Carvalho RSS, Leitão Júnior PSL, Dias Neto VS, Souza IGL, Rosal LCF, Gomes ACS. Use of polypropylene prosthesis using the Figueiredo Technique for treating thumb degloving in the interior of Minas Gerais – case report. Braz J Health Rev. 2024;7(3):1-11.

6. Sin-Soler M, Yébenes M, Gamissans M, Riera-Martí N, Lara A, Sàbat M. The use of bone wax versus dermal regeneration matrix for the reconstruction of scalp defects. Int J Dermatol. 2024;63(9):1236-41.

7. Becker GD, Adams LA, Levin BC. Secondary intention healing of exposed scalp and forehead bone after Mohs surgery. Otolaryngol Head Neck Surg. 1999;121(6):751-4.

8. Wong N, Zloty D. Secondary intention healing over exposed bone on the scalp, forehead, and temple following Mohs micrographic surgery. J Cutan Med Surg. 2022;26(3):274-9.


Licença Creative Commons All content the journal, except where identified, is under a Creative Commons Attribution-NonCommercial 4.0 International license - ISSN-e 1984-8773