3472
Views
Open Access Peer-Reviewed
Relato de casos

A imprevisibilidade do preenchimento com silicone: reação “facies leonina-símile”

Mariele Bevilaqua1; Ana Claudia Dal-Magro1; Laura Luzzatto1; Renan Rangel Bonamigo1,2,3; Ana Paula Dornelles Manzoni1

DOI: https://doi.org/10.5935/scd1984-8773.2024160334

Fonte de financiamento: Nenhuma.
Conflito de interesses: Nenhum.
Data de Submissão: 17/01/2024
Decisão final: 05/04/2024
Como citar este artigo: Bevilaqua M, Dal-Magro AC, Luzzatto L, Bonamigo RR, Manzoni APD. A imprevisibilidade do preenchimento com silicone: reação "facies leonina-símile". Surg Cosmet Dermatol. 2024;16:e20240344.


Abstract

Paciente do sexo feminino, 76 anos, com edema facial e nódulos localizados na região frontoglabelar e dorso nasal que, clinicamente, assemelhavam-se à face leonina. Ultrassonografia facial mostrou depósitos de preenchimento facial permanente em "tempestade de neve", característicos de preenchimento por óleo de silicone, e o anatomopatológico sugeriu reação granulomatosa à substância exógena. Os preenchedores permanentes, como silicone, comportam-se como corpos estranhos e determinam reação granulomatosa crônica. Apesar do uso cada vez maior de preenchedores dérmicos, ainda não há um consenso no manejo de suas complicações. Neste caso, houve boa resposta ao uso da dapsona.


Keywords: Silicones; Preenchedores Dérmicos; Doença Granulomatosa Crônica; Reação a Corpo Estranho.


INTRODUÇÃO

O preenchedor ideal para tecidos moles é aquele eficaz, não imunogênico, não tóxico, não cancerígeno, não migratório, de fácil aplicação, não palpável e indolor. Infelizmente, este produto ainda não existe e, cada vez mais, observa-se a ocorrência de manifestações imprevistas para produtos injetáveis utilizados para preenchimentos estéticos. Em meados do século XX, um polímero sintético purificado na forma de silicone injetável começou a ser utilizado para este fim. Embora tenha parecido promissor, foi proibido nos EUA pela Food and Drug Administration (FDA) em 1991 devido a complicações.1 No Brasil, sua suspensão se deu no ano de 2006, mas até hoje são registradas novas complicações secundárias ao seu uso.2

 

MÉTODOS/RESULTADOS

Paciente feminina, 76 anos, apresentava intenso edema facial e nódulos eritematosos endurados localizados na região frontoglabelar e dorso nasal que, clinicamente, assemelhavam-se à face leonina (Figura 1). As lesões iniciaram-se há 12 meses, após um procedimento dentário e só melhoravam na vigência de corticoterapia oral, com recidiva nas tentativas de retirá-lo. Relatava somente desconforto local leve e ausência de sintomas sistêmicos. No seu histórico médico pregresso, havia feito uma ritidoplastia facial com colocação de prótese mentoniana de silicone há aproximadamente 40 anos, preenchimento facial com substância desconhecida há 30 anos, hipotireoidismo, hipertensão e rinite controlados.

Foi solicitada uma ultrassonografia facial que mostrou depósitos de preenchimento facial permanente, caracterizados por áreas de aumento de ecogenicidade em derme e tecido subcutâneo, determinando artefatos de reverberação posterior em "tempestade de neve", característicos de preenchimento por óleo de silicone associado a imagens anecoicas ovaladas, com reforço acústico posterior, superficiais e menores que 0,3cm, compatíveis com pequenos depósitos de silicone puro associado a óleo de silicone, localizados em pálpebras inferiores e região infrapalpebral, além de implante de silicone no mento, em situação profunda, sem sinais de extravasamento (Figura 2).

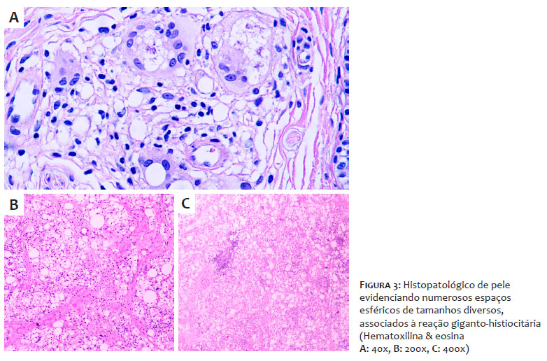
Não foram evidenciadas áreas de abscessos ou coleções líquidas. O exame histopatológico da pele identificou numerosos espaços esféricos de tamanhos diversos, associados à reação giganto-histiocitária com pesquisa negativa de bacilos álcool-ácido resistentes (BAAR) e fungos pela coloração Ziehl-Neelsen, Grocott e ácido periódico de Schiff (PAS). Os achados morfológicos sugeriram reação granulomatosa à substância exógena (Figuras 3A, 3B, 3C).

Culturas bacteriológica, micobacteriológica e micológica foram negativas. Exames laboratoriais gerais, incluindo sorologia para infecções virais - SARS-CoV-2 e marcadores de autoimunidade (fator antinuclear - FAN - e fator reumatoide - FR) -, assim como glicose-6-fosfato desidrogenase (G6PD), estavam sem particularidades. O tratamento inicial preconizado foi prednisona 40mg (0,5mg/kg/dia), moxifloxacino 400mg/dia e claritromicina 500mg de 12/12 horas por 30 dias (até resultado definitivo das culturas) com remissão total das lesões. Após 30 dias, foi iniciada a redução gradativa da corticoterapia e a introdução de dapsona 50mg/dia com aumento no segundo mês para 75mg/dia, com controle laboratorial (hemograma, transaminases), chegando a 100mg/dia, porém, com esta dose, a paciente apresentou queda de um ponto na hemoglobina (g/dL), sendo então retornada a dose de 75mg/dia para evitar a recidiva das lesões. A paciente utilizou dapsona por 10 meses e, até o momento da finalização deste relato, não houve piora (Figura 4).

 

DISCUSSÃO

O silicone líquido injetável, ou polidimetilsiloxano fluido, foi um produto usado para preenchimento tecidual, considerado instável, com alto risco de migração e de desencadeamento de respostas imunológicas locais e sistêmicas.2,3 A sua complicação tardia mais comum é o aparecimento de lesão única, nódulo-granulomatosa, também conhecida como "siliconoma tardio", e, quando a área acometida é pequena, pode ser tratado com corticosteroides intralesionais ou agentes antimitóticos, como 5-fluorouracil; porém em casos extensos, é necessário o uso de corticoterapia sistêmica.4

No presente caso, ressalta-se a exuberância da manifestação, com a presença de cerca de 20 nodulações, alargamento da base nasal e aspecto infiltrado da região supraciliar que levou à analogia com a "facies leonina" (condição que pode ser observada na hanseníase virchowiana e linfomas cutâneos, por exemplo).5 Também salienta-se que a primeira manifestação clínica ocorreu após 30 anos do procedimento, e o provável gatilho foi o procedimento dentário. Beleznay et al. descreveram que 39% dos pacientes que apresentam complicações tardias após preenchimento com ácido hialurônico têm como gatilho uma infecção do trato respiratório ou procedimento dentário prévio.6 Lloret et al. relataram dois casos de reação granulomatosa após preenchimento cutâneo com silicone, nos quais as pacientes apresentavam anticorpo antinuclear positivo.7

Diante das constantes recidivas dos granulomas faciais durante a redução da corticoterapia sistêmica, neste caso, foi associada a dapsona ao esquema terapêutico. A opção por esta droga antineutrofílica foi baseada na sua menor morbidade a longo prazo e na experiência do tratamento de outras doenças granulomatosas faciais.7,8 Ainda há carência de publicações com relevância científica que apontem o melhor esquema de tratamento para os granulomas secundários aos preenchedores e, por enquanto, as opções descritas variam desde a excisão cirúrgica, corticoide intralesional, antibióticos do grupo das tetraciclinas, tacrolimo, imiquimode, metotrexato, micofenolato mofetil, alupurinol, ciclosporina e azatioprina até etanercepte.9-12 Alguns autores tiveram boa experiência com o uso de isotretinoína, à semelhança de seu uso em rosácea granulomatosa.7 Porém, ainda não existem dados que definam se há superioridade de algum desses medicamentos entre as opções de tratamento.

 

CONCLUSÃO

Complicações por preenchimentos faciais estão cada vez mais frequentes. Os preenchedores permanentes, realizados em grande número décadas atrás, são particularmente desafiadores pela sua imprevisibilidade quanto ao tempo de início de suas complicações (de dias a décadas) e variações clínicas. Fazem-se necessárias publicações de relevância científica que orientem o melhor esquema de tratamento, pois acredita-se que os casos aumentarão exponencialmente diante da grande oferta de procedimentos estéticos na atualidade.

 

CONTRIBUIÇÃO DOS AUTORES:

Mariele Bevilaqua
ORCID:
-0001-5689-1162
Aprovação da versão final do manuscrito; concepção e planejamento do estudo; participação efetiva na orientação da pesquisa; participação intelectual em conduta propedêutica e/ou terapêutica de casos estudados; revisão crítica do manuscrito.
Ana Claudia Dal-Magro
ORCID:
-0001-5472-4539
Aprovação da versão final do manuscrito; obtenção, análise e interpretação dos dados.
Laura Luzzatto
ORCID:
-0002-4193-6943
Approval of the final version of the manuscript; data collection, analysis, and interpretation.
Renan Rangel Bonamigo
ORCID:
-0003-4792-8466
Aprovação da versão final do manuscrito; elaboração e redação do manuscrito; participação intelectual em conduta propedêutica e/ou terapêutica de casos estudados; revisão crítica da literatura.
Ana Paula Dornelles Manzoni
ORCID:
-0001-6184-4440 Aprovação da versão final do manuscrito; concepção e planejamento do estudo; elaboração e redação do manuscrito; participação efetiva na orientação da pesquisa; revisão crítica do manuscrito.

 

REFERÊNCIAS:

1. Attenello NH, Corey SM. Injectable fillers: review of material and properties. Facial Plast Surg. 2015;31(1):29-34.

2. Marinelli E, Vergallo GM, Reale G, Di Luca A, Catarinozzi I, Napoletano S, et al. The role of fillers in aesthetic medicine: medico-legal aspects. Eur Rev Med Pharmacol Sci. 2016;20(22):4628-4634.

3. Vargas AF, Amorim NG, Pintaguy I. Complicações tardias dos preenchimentos permanentes. Rev Bras Cir Plást. 2009;24(1):71-81.

4. Broder KW, Cohen SR. An overview of permanent and semipermanent fillers. Plast Reconstr Surg. 2006;118(3 Suppl):7S-14S.

5. Souza CS. Hanseniase: formas clínicas e diagnostico diferencial. Medicina (Ribeirão Preto). 1997;30:325-34.

6. Beleznay K, Carruthers JDA, Carruthers A, Mummert ME, Humphrey S. Delayed-onset nodules secondary to a smooth cohesive 20 mg/mL hyaluronic acid filler: cause and management. Dermatol Surg. 2015;41(8):929-39.

7. Lloret P, España A, Leache A, Bauzá A, Fernández-Galar M, Idoate MA, et al. Successful treatment of granulomatous reactions secondary to injection of esthetic implants. Dermatol Surg. 2005;31(4):486-90.

8. Cavallieri FA, Balassiano LKA, Bastos JT, Fontoura GHM, Almeida AT. Edema tardio intermitente e persistente ETIP: reação adversa tardia ao preenchedor de ácido hialurônico. Surg Cosmet Dermatol. 2017;9(3):218-222.

9. Lindhaus C, Elsner P. Granuloma faciale treatment: a systematic review. Acta Derm Venereol. 2018;98(1):14-18.

10. Alijotas-Reig J, Fernández-Figueras MT, Puig L. Inflammatory, immune-mediated adverse reactions related to soft tissue dermal fillers. Semin Arthritis Rheum. 2013;43(2):241-58.

11. Desai AM, Browning J, Rosen T. Etanercept therapy for silicone granuloma. J Drugs Dermatol. 2006;5(9):894-6.

12. Requena L, Requena C, Christensen L, Zimmermann US, Kutzner H, Cerroni L. Adverse reactions to injectable soft tissue fillers. J Am Acad Dermatol. 2011;64(1):1-34; quiz 35-6.


Licença Creative Commons All content the journal, except where identified, is under a Creative Commons Attribution-NonCommercial 4.0 International license - ISSN-e 1984-8773